Takotsubo cardiomyopathy secondary to alcohol withdrawal

Authors

  • Faizan Ahmed University of Louisville School of Medicine, Department of Internal Medicine
  • Jeffrey F Spindel University of Louisville School of Medicine, Department of Internal Medicine
  • Agastya Belur University of Louisville School of Medicine, Division of Cardiovascular Medicine
  • Shahab Ghafghazi University of Louisville School of Medicine, Division of Cardiovascular Medicine

DOI:

https://doi.org/10.21542/gcsp.2022.6

Abstract

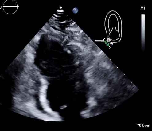
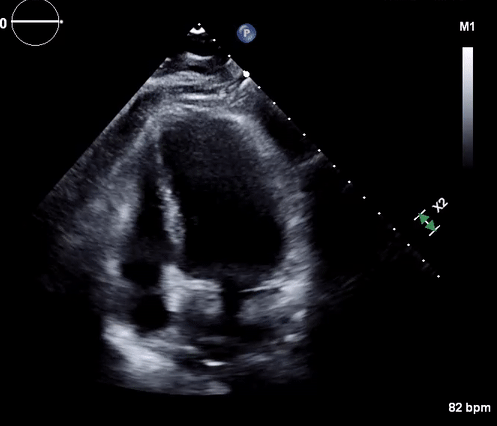
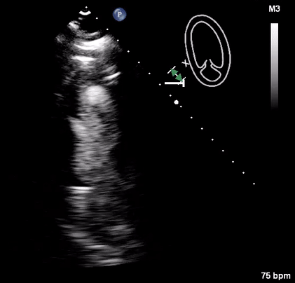
Physical, mental, and emotional stressors have been well known to adversely affect cardiac function. A rare complication of such stressors is stress cardiomyopathy, otherwise known as takotsubo cardiomyopathy. First identified in Japan in the 1990s, takotsubo cardiomyopathy classically presents with systolic dysfunction and apical ballooning. In this report, we present the case of a patient with a medical history of alcohol abuse who presented to the emergency department after being found unresponsive by her family. Transthoracic echocardiography revealed takotsubo cardiomyopathy, which was likely secondary to alcohol withdrawal. Alcohol withdrawal causes an imbalance between various neurotransmitters such as GABA and glutamate. This imbalance caused autonomic overactivity, which manifested as stress cardiomyopathy.

Published

2022-06-08

Issue

Section

Images in cardiology